Hematologička: Najsmrtnejšia je ľudská hlúposť

„Predísť pritom môžeme 30 až 50 percentám nádorových ochorení. Skríning onkologických chorôb, takzvaná onkokontrola, je jedným z najúčinnejších nástrojov na boj proti rakovine. Slúži na zachytenie onkologickej choroby vo včasnom štádiu u zdanlivo bezpríznakovej populácie,“ uviedlo ministerstvo zdravotníctva pri príležitosti Svetového dňa boja proti rakovine.
Včasné odhalenie rakoviny zvyšuje šance na úspešnú liečbu a zároveň je menej nákladné na zdravotnú starostlivosť.
{{suvisiace}}
Dôraz na prevenciu
Čo sa týka prevencie, Eva Mikušková, primárka Oddelenia onkohematológie II. na Klinike onkohematológie LF UK a NOÚ v Bratislave, pripúšťa rezervy v preventívnej medicíne.
Prevencia podľa nej po covide kríva, hoci sa spustili kampane aj zo strany zdravotných poisťovní. „V rámci prevencie sa dá zlepšiť veľa vecí. Kľúčové je, aby ľudia dodržiavali systém a neobchádzali všeobecných lekárov - chcem takýto výmenný lístok - a aby prispeli svojou mierou zodpovednosti, že na prevenciu prídu,“ podotkla primárka Mikušková.
Akútne leukémie a niektoré druhy lymfómov a myelómov nemusia mať typický obraz vhodný na prevenciu. Sú totiž ťažšie odhaliteľné, zmeny nastávajú plíživo. V krvnom obraze síce pacient nemusí mať hneď nejakú zmenu, Mikušková však kladie dôraz na krvný obraz.
„Prevencia z hľadiska kvality života a vyliečiteľnosti je najlepšou voľbou,“ zdôraznila Mikušková. Narážala tým i na životný štýl, napríklad fajčenie. „Títo ľudia by vôbec nemuseli byť ani chorí,“ podotkla.
Akútna leukémia – metabolický upír
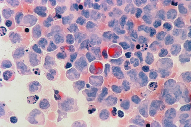
Akútna leukémia je rýchlo postupujúce ochorenie krvi, pri ktorom sa v kostnej dreni nekontrolovateľne množia nezrelé biele krvinky (blasty) na úkor zdravých buniek. Tieto abnormálne bunky bránia produkcii zdravých krviniek, čo vedie k anémii, oslabenej imunite a poruchám zrážania krvi. Liečba je neodkladná. Má rôzne typy ako akútna myeloidná leukémia (AML) a akútna lymfoblastová leukémia (ALL).
Názov akútna označuje, že sa ochorenie vyvíja rýchlo.
„Akútne leukémie idú veľmi rýchlo, rýchlo dokážu pacienta pripraviť o zdravie. Akútna leukémia je metabolický upír, je veľmi expanzívna,“ podotkla Mikušková. Včasná diagnostika a rýchly presun do špecializovaného centra je podľa nej kľúčové. „Ponúkame rýchle konziliárne vyšetrenia minimálne na telefóne. Ak pacient nie je v poriadku, sťahujeme ho potom do centra, lebo hráme o čas,“ zdôraznila.
{{odporucane}}
Onkológia zažila nebývalý rozmach
Napriek negatívnemu obrazu časť akútnych leukémií je trvalo vyliečiteľná. Ide o viac ako polovicu pacientov s akútnou leukémiou.
Oproti minulosti ide o výrazný pokrok. Podľa Mikuškovej je to možné pripísať transplantáciám a príchodu cielených molekúl. Zároveň prichádza precízna medicína. „Expanzia genetickej analýzy genómu je úžasná a pokrok v genetike nám priniesol toľko možností, čím ďalej tým viac máme aj liekov,“ vyzdvihla.
Vývoj v genetike a precíznej medicíne tak priniesol nové možnosti. „Onkológia zažila nebývalý rozmach. Dnes vieme pacientom ponúknuť cielenú liečbu,“ hovorí odborníčka.
Moderné diagnostické metódy umožňujú odhaliť mutácie a prispôsobiť terapiu konkrétnemu pacientovi. Aj keď nie všetky lieky sú kategorizované, a teda hradené z verejného zdravotného poistenia, zdravotné poisťovne často vychádzajú v ústrety a umožňujú prístup k inovatívnym terapiám.
Akútne leukémie sú nešpecifické
Príznaky sa rozvinú rýchlo, čo je spôsobené nedostatkom zdravých krviniek. Pri ktorých príznakoch by mal teda človek spozornieť? Ide napríklad o únavu, slabosť, častejšie infekcie, bledú kožu, modriny, dlhšie krvácanie z nosa alebo ďasien, bodkovité fialové škvrny na koži.
„Ak je človek zrazu dušný, nie je kardiak, ktorý zlyháva a z plného zdravia zrazu pociťuje náhlu únavu, dušnosť, modriny, má nečakané infekcie, rozsiahle modriny, bolesti hlavy u niekoho, kto predtým netrpel žiadnymi vážnymi príznakmi. Časť pacientov začne mať závrat a atypickú bolesť, ktorú dovtedy nemali,“ vysvetlila Mikušková, kedy je treba vyhľadať lekára.
Podľa jej slov problémom akútnych leukémií je, že sú nešpecifické. V hociktorom orgáne môže spustiť nejakú signalizáciu. Práve preto je kľúčový krvný obraz.
Ľudská hlúposť
Napriek pokroku v medicíne zostáva podľa lekárky najväčším problémom ľudský faktor. „Najsmrtnejšia je ľudská hlúposť,“ reaguje lekárka. Tá sa podľa nej prejavuje v nevedomosti, zanedbávaní prevencie, neochote lekárov spolupracovať či v nedôvere k vede. Preto zdôrazňuje význam edukácie a komunikácie, vrátane tej medzi lekármi.
„Je to kritika i do vlastných radov, je čo zlepšovať,“ uviedla a dodala: „Myslím si, že systém nefunguje morálne, poškodzuje ho aj klíma, ktorá je. Ale toto sa deje všade v zdravotných systémoch. Ľudia sú roky preťažení, štrajky sú v Londýne, nemá kto pracovať v Nemecku“.
Poukázala tiež na ďalší problém, po covide nastalo zlyhanie siete. „Treba sa vrátiť k dobrému klinickému vyšetrovaniu, nielen cez telefón“. Nenarážala tým na kritiku telemedicíny. „Na telefóne riešime extrémne veľa vecí. Teraz hovorím o pacientoch v nemocnici, lebo nejde o prvý kontakt. Tam je už dôležité, aby tím odborníkov dokázal rýchlo zistiť, čo pacientovi je. Hlavne aby pacient nečakal, lebo veľakrát sa stane - čakáme ešte na toto vyšetrenie. Pokiaľ máte dobrého špecialistu, on nepotrebuje ďalších 20 vyšetrení, jemu niekedy stačí sa pozrieť na malý výsek,“ zhodnotila Mikušková.
Následne spomenula, „nebránime sa konzultácii. Niekedy pacienta rýchlo buď transportujeme, lebo je to jasná leukémia, alebo rýchlo poskytujeme konzílium. U nás konzílium nie je o týždeň, 3-5 mesiacov, dávame pacientovi termín zajtra, pozajtra“.
Celý rozhovor s primárkou onkohematológie Evou Mikuškovou si môžete vypočuť v podcaste ozdravme.